健康醫療網 - 所有的文章 - 共有 15410 篇文章 搜尋時間 0.014 秒
平淡無奇的日子反而傷腦! 6方法保護腦袋不健忘
2022-02-09 12:00:00 by 健康醫療網 @ 健康醫療網 [引用來源]
許多研究指出,感染新冠病毒可能會造成腦霧,其症狀包括注意力不足、感到迷茫、思考比平時慢、想法變得模糊、健忘、精神疲勞、頭腦不清楚,就像是人走在迷霧中,但關於病毒如何影響大腦的問題,仍需要繼續調查研究,不過Javadi表示,即使沒有感染病毒,平淡無奇的日子、缺乏社交互動和運動鍛煉減少,也會使記憶力退步。 在疫情進展這2年多來,日期、細節和日常生活等事務是...... [閱讀更多]
半癱婦肩膀長期痛影響復健意願 中西聯手助恢復
2022-02-09 11:00:00 by 健康醫療網 @ 健康醫療網 [引用來源]
50歲陳女士因腦中風造成左側偏癱,上肢肌力3分,積極復健兩個月後因左肩疼痛開始排斥上肢復健,導致疼痛日益加劇,夜裡更抽痛難眠 50歲陳女士因腦中風造成左側偏癱,上肢肌力3分,積極復健兩個月後因左肩疼痛開始排斥上肢復健,導致疼痛日益加劇,夜裡更抽痛難眠,經與醫師討論,決定在原本的西醫復健治療下搭配中醫針灸治療,經6次針灸治療後,大幅改善抽痛感覺,也提升接...... [閱讀更多]
晚期轉移性大腸直腸癌 多線治療延生機
2022-02-09 10:00:00 by 健康醫療網 @ 健康醫療網 [引用來源]
楊純豪醫師(圖左)與鄧豪偉醫師(圖右)共同提醒,民眾應定期接受四癌篩檢,及早發現及早治療,才能遠離大腸直腸癌,享有順暢幸福的人生。 在台灣大腸直腸癌的發生及死亡人數,近十年呈快速增加的趨勢,居所有癌症發生率及死亡率的第2位及第3位。根據國健署發布的107年癌症登記報告顯示,大腸直腸癌發生人數已超過15,000人,且每年平均約有5,000人死於大腸癌,為...... [閱讀更多]
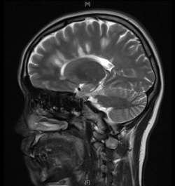
狡詐千面病魔多發性硬化症 兒童頭暈視力模糊要注意!
2022-02-09 09:40:00 by 健康醫療網 @ 健康醫療網 [引用來源]
十五歲的楊小妹妹有時會把一個東西看成兩個,常感覺到頭暈,有時上體育課時也會感覺到手腳沒力氣等症狀。反覆就醫仍找不出病因,最後至彰化基督教醫院小兒神經科就診,經張通銘醫師仔細檢查,才發現她罹患了罕見的多發性硬化症。 自體免疫不正常 中樞神經反覆發炎受重傷 多發性硬化症(Multiple Sclerosis,簡稱MS)是一種難纏的疾病,早期難以辨別,因為多發性硬化症的病...... [閱讀更多]
多發性骨髓瘤三藥療法 全口服免舟車勞頓
2022-02-09 09:00:00 by 健康醫療網 @ 健康醫療網 [引用來源]
多發性骨髓瘤是一種血液癌症,由於骨髓內的「漿細胞」不正常增生,製造產生過多功能缺陷的抗體(免疫球蛋白),進而沉積在腎小管,影響腎功能,同時免疫力下降,容易感染,同時帶來許多併發症。 住在桃園的68歲馬女士,6年前感到骨頭疼痛,且痛到連翻身都很困難,後來發現是脊椎壓迫性骨折,進一步檢查後發現,竟然是罹患了多發性骨髓瘤。馬女士轉介至台北的三軍總醫院進行治療...... [閱讀更多]
早上老是倦怠想睡? 6招喚醒身心 連咖啡都不用喝
2022-02-09 08:00:00 by 健康醫療網 @ 健康醫療網 [引用來源]
早上起床準備上班上課,仍然感到疲倦、想睡,因此每天必須喝一杯以上的咖啡以提振精神,否則大大影響事業、課業。美國營養與飲食學會發言人Nancy Z. Farrell Allen表示,現代人壓力大,大家都希望保持精力,但對某些人來說,咖啡會導致胃部不適或腹瀉,甚至有人會心悸。最根本的解決方式是晚上保持良好的睡眠,才能在白天感到有精神。但是,如果平時睡眠品質難調整,不妨參考6種最自然的「快速...... [閱讀更多]
大姨媽常遲到? 當心「多囊卵巢綜合症」致不孕
2022-02-08 16:00:00 by 健康醫療網 @ 健康醫療網 [引用來源]
門診中常見女性朋友表示「月經常常慢來,甚至還要吃催經藥才會來,看西醫醫師檢查後說有多囊卵巢,心中頓時不知怎麼辦,也很擔心會不會影響懷孕」。 門診中常見女性朋友表示「月經常常慢來,甚至還要吃催經藥才會來,看西醫醫師檢查後說有多囊卵巢,心中頓時不知怎麼辦,也很擔心會不會影響懷孕」。 多囊卵巢綜合症 不治療恐不孕 安南醫院中醫部主治醫師廖殷梓表示...... [閱讀更多]
本土+26 22隔離陰轉陽、一家4口感染源不明
2022-02-08 15:33:00 by 健康醫療網 @ 健康醫療網 [引用來源]
今(2/7)新增26例本土案例及22例境外移入, 本土案例中,居家隔離採檢陰轉陽佔22例,另4例為新案例,為新北一家四口。 中央流行疫情指揮中心說明,今(2/7)新增26例本土案例及22例境外移入, 本土案例中,居家隔離採檢陰轉陽佔22例,另4例為新案例。指揮中心指揮官陳時中指出,桃園自貿園區昨進行最後一次大型採檢,共驗2147人,其中7名確診移工於前...... [閱讀更多]
63歲男心肌梗塞後心臟衰竭 體外反搏治療改善症狀
2022-02-08 15:00:00 by 健康醫療網 @ 健康醫療網 [引用來源]
日前一名63歲吳先生嚴重胸悶超過三小時,緊急就醫後確診為急性心肌梗塞,經心導管手術並放置心臟支架後,雖改善胸悶,但仍感到呼吸急促,經評估為典型心肌梗塞後心臟衰竭症狀。 出現嚴重胸悶可別大意,恐是急性心肌梗塞的徵兆!日前一名63歲吳先生嚴重胸悶超過三小時,緊急就醫後確診為急性心肌梗塞,經心導管手術並放置心臟支架後,雖改善胸悶,但仍感到呼吸急促,經評估為典...... [閱讀更多]
首批新冠口服藥抵台! 研究:可降低30%染疫死亡風險
2022-02-08 14:00:00 by 健康醫療網 @ 健康醫療網 [引用來源]
Covid19口服藥-莫納皮拉韋。(圖:亞東醫院提供) 新冠肺炎治療出現新曙光!國人引頸期盼的新冠肺炎口服藥,由美國默沙東藥廠新研發的「莫納皮拉韋(Molnupiravir)」於2022年1月24日正式引進台灣,讓目前飽受Omicron社區感染肆虐的台灣宛如打了一劑強心針。 藥物機轉 阻斷病毒複製的效果 先前台灣有參與默沙東全球第三期臨床試...... [閱讀更多]

