健康醫療網 - 所有的文章 - 共有 15410 篇文章 搜尋時間 0.021 秒
抬頭挺胸好難!男大生脊椎側彎75度如廁會噴到臉 - 健康醫療網 - 健康養生新聞資訊網路媒體
2022-05-30 09:30:00 by 健康醫療網 @ 健康醫療網 [引用來源]
一名21歲、正值青春活力的男大生,因患有先天性脊椎側彎達75度,從小就只能低著頭走路,由於傾斜彎度過大,站著小便時都會不慎尿到自己的臉,嚴重影響他的人生。3年前來到義大醫院,由院長杜元坤親切的諮詢與問診後,進行脊椎矯正手術,經歷繁雜的手術過程,術後十分順利,而他不但能抬頭挺胸走路,還能吊單槓、打籃球、做仰臥起坐,再也不感到自卑了。 脊椎先天結構異常少見 逾8成為退化性疾病 國人...... [閱讀更多]
揮別爆癢日常!異位性皮膚炎生物製劑治療新利器 - 健康醫療網 - 健康養生新聞資訊網路媒體
2022-05-30 09:00:00 by 健康醫療網 @ 健康醫療網 [引用來源]
一名中餐廚師,罹患中重度異位性皮膚炎,從頭到腳高達80%面積的病灶,每天得待在悶熱廚房,總是大汗淋漓,皮膚極癢、刺痛、流血流膿是日常,嚴重影響工作、生活。中國醫藥大學附設醫院皮膚科主治醫師方心禹表示,由於該名患者病況太嚴重,一度懷疑是乾癬,因此進一步以皮膚切片證實是異位性皮膚炎。起初以免疫調節劑治療但效果不彰,選擇生物製劑後,病情獲一大進展,原本的病灶幾乎都康復,工作和生活也都恢復常軌...... [閱讀更多]
確診孕婦「喉嚨如刀割」難進食 中醫治療8天陽轉陰 - 健康醫療網 - 健康養生新聞資訊網路媒體
2022-05-29 20:00:00 by 健康醫療網 @ 健康醫療網 [引用來源]
本土疫情持續延燒,各地確診人數越來越多。懷孕19週的陳太太經PCR檢測確診新冠肺炎,出現喉嚨痛如刀割,根本無法進食,連喝水都痛,經台南市立醫院中醫科醫師張烱宏視訊門診診斷後,給予中藥治療,3天後咽痛大幅改善,第8天轉陰,後赴婦產科產檢母子平安。 陳太太和大多數人一樣,遵守防疫規定,勤洗手戴口罩,除上班外都不敢外出。直到有天下班回家覺得咽喉卡卡,以為是空氣不佳所致,但隔天起...... [閱讀更多]
「五十肩」好痠痛!中醫「教2招」自己就能喬 - 健康醫療網 - 健康養生新聞資訊網路媒體
2022-05-29 18:00:00 by 健康醫療網 @ 健康醫療網 [引用來源]
一位50多歲女性因長時間在家打掃、整理家務,近日右側肩關節漸漸出現抬舉時疼痛的現象,而且症狀越發加重,用右手往後搔癢、穿脫內衣時更顯困難。由於症狀時好時壞,日常生活中特定動作又會引發疼痛,十分困擾,忍不住尋求醫療協助。經衛福部新營醫院中醫師陳建閔詢問疼痛發作特性、引發姿勢,判斷應是俗稱的五十肩,又稱冰凍肩。 過度勞損、發炎,五十肩非50歲專利 陳建閔指出,肩關節活動...... [閱讀更多]
精障者確診內心更焦慮? 三階段助「安心」 - 健康醫療網 - 健康養生新聞資訊網路媒體
2022-05-29 16:00:00 by 健康醫療網 @ 健康醫療網 [引用來源]
隨著國內新冠肺炎疫情持續延燒,許多精神病人也可能確診,他們內心焦慮和不知所措十分嚴重,更有部分因擔心被加深污名化,而不願就醫診治,影響到患者精神症狀與整體疫情控制。 提供三階段完整資訊 助精障者「安心」 台灣社會心理復健協會理事長張自強表示,提供精神病人完整的資訊,將可降低其恐慌,並能做適當的疫病處理,以下幾個階段提供大家參考,希望能讓確診精障者能安心且平安的度過這波疫情; ...... [閱讀更多]
來自遺忘星球的爺爺─從繪本認識失智症 - 健康醫療網 - 健康養生新聞資訊網路媒體
2022-05-29 12:00:00 by 健康醫療網 @ 健康醫療網 [引用來源]
依據衛生福利部統計2019年因失智症就醫人數達23.5萬,其中65歲以上長者佔96.3%。為強化推動國小學童從小紮根,對失智症正確的認識,同時學習關懷家中或身邊的高齡長輩,因此,國民健康署研發數位動畫繪本–「來自遺忘星球的爺爺」,以小朋友的視角透過可愛生動的親子對話,引導小朋友們認識失智症的樣態,形成同理心,從對失智症的陌生到同理再到對話,化身為失智友善的小天使!國民健康署吳昭軍署長邀...... [閱讀更多]
為什麼女生老愛抱抱?研究:分泌「愛的賀爾蒙」助減壓 - 健康醫療網 - 健康養生新聞資訊網路媒體
2022-05-29 09:30:00 by 健康醫療網 @ 健康醫療網 [引用來源]
為什麼女生總喜歡和另一半討抱抱呢?「抱抱」不只是單純想要撒嬌、討拍而已!根據《CNN》報導中指出,最新研究發現,「擁抱」對女性有很大的影響,但對男性而言,效果並不大。《PLOS One》發表一項研究,研究人員分析以76位受試者和伴侶擁抱後「對壓力的反應」,和沒有擁抱另一半的女性相比,擁抱另一半的女性皮質醇(一種壓力荷爾蒙)的分泌有所下降,但男性似乎沒有同樣的效果。 女性擁抱時會產生...... [閱讀更多]
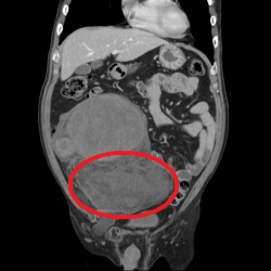
脂肪會癌變?6旬翁腹股溝長「30公分」超大腫瘤 - 健康醫療網 - 健康養生新聞資訊網路媒體
2022-05-28 18:00:00 by 健康醫療網 @ 健康醫療網 [引用來源]
68歲劉先生近日因腹部疼痛就醫,經電腦斷層檢查發現,在腹股溝處有一個近30公分大的腫瘤,大千綜合醫院泌尿科醫師李承哲安排手術切除後進行病理切片,報告證實為惡性脂肪肉瘤,所幸腫瘤並未轉移。劉先生術後恢復良好,目前持續追蹤避免復發。 李承哲表示,脂肪肉瘤常發生於四肢及後腹腔內,是深層軟組織異常且具有侵犯性的惡性腫瘤,為罕見的癌症疾病。出現在四肢的脂肪肉瘤多是腫大的硬塊,會有疼...... [閱讀更多]
2022最新育兒津貼補助加倍!懶人包一次看 - 健康醫療網 - 健康養生新聞資訊網路媒體
2022-05-28 14:00:00 by 健康醫療網 @ 健康醫療網 [引用來源]
育兒津貼要加倍了!由於台灣面臨少子女化問題,政府希望透過落實「0~6歲國家一起養」政策,支持家長養兒育女,減輕家庭負擔。行政院長蘇貞昌表示,自今年8月起,就學補助及擴大育兒津貼補助新制上路,可望讓有第2胎或第3胎以上生育計畫的爸媽更加有感。 育兒津貼申請資格 若爸媽欲申請中央政府的育兒津貼,必須符合以下申請資格: 年齡為0~6歲幼、兒童 照顧...... [閱讀更多]
劃破醫護人員隔離衣的利刃 「這件事」比新冠肺炎還可怕 - 健康醫療網 - 健康養生新聞資訊網路媒體
2022-05-28 12:00:00 by 健康醫療網 @ 健康醫療網 [引用來源]
近日全台新冠肺炎確診案例數居高不下,雖專責病床總數仍控制在安全範圍內,但醫療量能仍因篩檢數量龐大、醫護人員相繼確診等因素而備受影響。衛生福利部雙和醫院家庭醫學科專任主治醫師暨臺北市醫師職業工會會員代表陳信儒表示,在新冠肺炎疫情升溫的情形下,即便加派醫護人力也難以應付持續增加的醫療需求,此時,更容易導致「醫病關係的緊張」。 男子不滿就醫久候出言恐嚇 醫護士氣低落如雪上加霜 幾日前...... [閱讀更多]

