健康醫療網 - 所有的文章 - 共有 15410 篇文章 搜尋時間 0.016 秒
0~6歲兒童免費快篩今日發放!5大注意事項一次看 - 健康醫療網 - 健康養生新聞資訊網路媒體
2022-06-01 17:01:00 by 健康醫療網 @ 健康醫療網 [引用來源]
近日本土疫情持續,為確保孩童身體健康,6月1日至6月30日期間,0至6歲兒童的家長可持健保卡,至快篩實名制據點領取5劑免費家用快篩試劑。據指揮中心今(1)日統計,早上共有3萬2985人份免費領用,指揮官陳時中也提醒,領取對象為民國2016年1月1日(含)以後出生孩童,家長出門前要注意日期免得白跑一趟。 0~6歲兒童免費領快篩 五大注意事項一次看 6月1日至6月30日期間,0至6...... [閱讀更多]
「處女膜」無關處女! 調查:近9成贊成重新正名 - 健康醫療網 - 健康養生新聞資訊網路媒體
2022-06-01 16:00:00 by 健康醫療網 @ 健康醫療網 [引用來源]
台灣女人連線與林淑芬委員日前召開記者會,公布「處女膜正名」徵名及連署行動成果,近九成回覆者支持改名。台灣整形外科醫學會理事長戴浩志表示,醫學會支持正名,因為處女膜與是不是處女毫無關係。 「處女膜」正名 重新命名佔九成 「處女膜正名」徵名行動約有1220名民眾參與,88.9%贊成重新命名、6.3%不贊成。贊成重新命名者中,38.9%認為應正名為「陰道冠」、27%認為應改為「陰道...... [閱讀更多]
本土+88,247例!再增2例不滿一歲嬰兒染疫家中死亡 - 健康醫療網 - 健康養生新聞資訊網路媒體
2022-06-01 15:14:00 by 健康醫療網 @ 健康醫療網 [引用來源]
中央流行疫情指揮中心今(1)日公布國內新增88,293例COVID-19確定病例,分別為88,247例本土個案及46例境外移入(31例為航班落地採檢陽性);另確診個案中新增122例死亡。 指揮中心表示,今日新增之88,247例本土病例,為42,365例男性、45,861例女性、21例調查中,年齡介於未滿5歲至90歲以上。 個案縣市分佈 新北市14,894例 臺...... [閱讀更多]
抗COVID-19藥物安心用 數位健康證明隨手載 - 健康醫療網 - 健康養生新聞資訊網路媒體
2022-06-01 15:00:00 by 健康醫療網 @ 健康醫療網 [引用來源]
為讓民眾及醫師瞭解抗病毒藥及清冠一號相關適應症及使用注意事項,健保署全球資訊網已建置「COVID抗病毒藥、清冠一號資訊」專區,提供民眾COVID-19抗病毒藥物注意事項、配賦院所及清冠一號適應症、副作用等資訊;而醫師透過「健保醫療資訊雲端查詢系統」可查詢COVID-19治療用口服藥物用藥明細及近10日內「臺灣清冠一號藥品」領用紀錄,保障確診病患用藥安全。 抗病毒用藥禁忌 可在網站查...... [閱讀更多]
「嗅覺異常」不一定是感染新冠!當心慢性鼻竇炎合併鼻息肉 - 健康醫療網 - 健康養生新聞資訊網路媒體
2022-06-01 14:00:00 by 健康醫療網 @ 健康醫療網 [引用來源]
新冠肺炎疫情延燒,國人對於流鼻水、鼻塞、嗅覺異常等呼吸道症狀提心吊膽,如果快篩結果為陰性。耳鼻喉科醫師表示,民眾也需要留心是否罹患其他呼吸道疾病,比如慢性鼻竇炎合併鼻息肉,這類疾病如果長期置之不理,恐增加中耳炎和睡眠呼吸中止等共病風險。 慢性鼻竇炎合併鼻息肉症狀:鼻塞、流鼻水、嗅覺異常 中國醫藥大學新竹附設醫院耳鼻喉科暨聽語中心王堂權主任表示,慢性鼻竇炎是一個嚴重影響生活品質的...... [閱讀更多]
3C藍光加速腦功能失調!中年男「一夜尿逾2次」狂如廁不成眠 - 健康醫療網 - 健康養生新聞資訊網路媒體
2022-06-01 11:00:00 by 健康醫療網 @ 健康醫療網 [引用來源]
睡前狂滑手機讓腦功能與尿事都出問題!53歲的趙先生是多屏族,下班後愛看電視職棒轉播,還會邊開電腦工作,睡前也會不停玩手機。這一年來,總被半夜多次的尿意而打斷,而且尿量還非常多,導致白天精神不濟,黑眼圈上身,身體變差,工作頻出錯,甚至差點出車禍,前往泌尿專科就醫後,被診斷為「夜間多尿」。台灣泌尿科醫學會秘書長王弘仁表示,現代人3C依賴度高,加上台灣人口老化,預視罹患夜間多尿的人口會越來越...... [閱讀更多]
硬皮病喘如溺水,竟連肺也「硬」化 死亡率飆三倍 - 健康醫療網 - 健康養生新聞資訊網路媒體
2022-06-01 10:30:00 by 健康醫療網 @ 健康醫療網 [引用來源]
自新冠肺炎疫情爆發以來,大眾逐漸意識到肺纖維化的危險性,但除了肺炎後遺症與較為人所熟悉的成因不明之特發性肺纖維化(菜瓜布肺)外,更須當心自體免疫疾病患者也是肺纖維化的高危險族群!其中,又以硬皮病是容易引發肺纖維化的典型自體免疫疾病,高達75%患者會併發肺纖維化(SSc-ILD),根據研究顯示,死亡率會上升3倍。高雄醫學大學附設醫院胸腔內科蔡英明醫師表示,自體免疫疾病的治療仍以風濕過敏免...... [閱讀更多]
新冠常備藥選擇+1 醫師:CPC口含錠可做輔助治療 - 健康醫療網 - 健康養生新聞資訊網路媒體
2022-06-01 10:00:00 by 健康醫療網 @ 健康醫療網 [引用來源]
近日台灣Omicron疫情延燒,越來越多人染疫,而許多輕症患者都以居家照護為主。日前藥師公會公告可先備妥六大類藥品以備不時之需,中山醫院小兒科吳其穎醫師表示,常備藥品項目當中,兒童用藥原則上與大人差不多。由於發燒已不是共同症狀,喉嚨痛也成為常見的病症之一,因此也可準備含有CPC成份的口含錠,確診者可以用來舒緩喉嚨不適、減少喉嚨病毒量,降低病毒傳播性;即使非確診者,一天可以含個2~3錠做...... [閱讀更多]
多發性硬化症反覆復發 小心神經性傷害累積致失能 - 健康醫療網 - 健康養生新聞資訊網路媒體
2022-06-01 09:30:00 by 健康醫療網 @ 健康醫療網 [引用來源]
才剛踏入職場的李小姐(化名),某天在使用手機時突覺視線模糊,本以為是工作疲累所致,沒想到幾天後走路竟出現步態不穩、雙腳無力的現象,嚇得趕緊至醫院就醫,經診斷為「多發性硬化症」。起初李小姐強烈否認診斷結果並拒絕治療,後與醫師再三溝通,了解疾病反覆復發可能造成的傷害,才開始接受治療。但因傳統針劑藥物須每兩天施打一次,對出差或旅行都帶來極大不便,向醫師反應後改用新型針劑藥物,僅需每兩周注射一...... [閱讀更多]
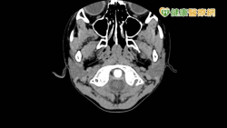
電腦斷層比天然輻射量高5倍 兒童照太多「罹癌機會增」 - 健康醫療網 - 健康養生新聞資訊網路媒體
2022-06-01 09:00:00 by 健康醫療網 @ 健康醫療網 [引用來源]
一名6歲男童,鼻咽部出現腫塊,被誤認為腫瘤,便替他安排頭、頸、胸、腹及骨盆等部位的電腦斷層(CT)檢查,結果在頭頸部發現是正常兒童會有的腺狀體淋巴組織,並非腫瘤,且其餘部位均無異常發現,然而電腦斷層掃描會讓兒童曝露於輻射的疑慮,中華民國放射線醫學會小兒影像診斷次專科委員會召集委員、臺大醫院核子醫學部主任彭信逢醫師表示,根據美國研究指出1,兒童接受電腦斷層檢查,每一次CT掃描,終身約增加...... [閱讀更多]

