桃園電子報記者諶志明 - 所有的文章 - 共有 2785 篇文章 搜尋時間 0.017 秒
「聯新國際醫療骨科共照聯盟」加強雙向轉診服務病患
2021-12-16 14:40:29 by 桃園電子報記者諶志明 @ 桃園電子報 [引用來源]
聯新國際醫院響應健保署北區業務組「雁行專案-社區醫療合作推動計畫」,結合中壢、平鎮、楊梅、龍潭區11家在地診所,共同成立「聯新國際醫療骨科共照聯盟」,未來將以更緊密合作的雙向轉診,提供骨科病人更完整的醫療照護。「聯新國際醫療骨科共照聯盟」16日於聯新國際醫院舉行成立大會,健保署北區業務組與會參與,肯定醫院與診所攜手推動雁行計畫的用心及努力。 聯新國際醫院響應健保署北...... [閱讀更多]
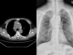
樂生療養院王琮柏:肺癌常無症狀盡早篩檢有利治療
2021-12-16 13:52:59 by 桃園電子報記者諶志明 @ 桃園電子報 [引用來源]
64歲的李先生是退休的壓克力加工廠老闆,年輕時開始抽菸,也曾因為感染肺結核,接受過完整的治療。退休後在家人勸說下,定期接受健康檢查,但這兩年卻因疫情而不得不暫時中斷。最近疫情逐漸趨緩,重新進行全身健康檢查,經由低劑量胸部電腦斷層(LDCT)檢查,竟然發現縱膈腔及肋膜腫瘤,甚至已經侵犯到鄰近的大血管。 王琮柏醫院建議,年齡介於 50-80 歲、一年抽菸超過30包的老菸...... [閱讀更多]
竹圍漁港導入智慧無人船 清除海漂垃圾與汙染
2021-12-16 13:31:09 by 桃園電子報記者諶志明 @ 桃園電子報 [引用來源]
桃園市政府資訊科技局將於111年1月與農業局、環保局海岸管理工程處及民間單位合作,於竹圍漁港導入「環境永續前瞻應用服務試煉計畫」,以智慧無人船協助清除海漂垃圾、濾除塑膠微粒、檢測港灣淤泥與水質、清理港灣油污等,未來將可應用於桃園市其他重要河川及漁港,守護桃園海岸環境。 桃園市政府資訊科技局將於111年1月與農業局、環保局海岸管理工程處及民間單位合作,於竹圍漁港導入「...... [閱讀更多]
中原大學獲「優華語」計畫補助 赴美授課促進文化交流
2021-12-16 13:26:39 by 桃園電子報記者諶志明 @ 桃園電子報 [引用來源]
為樹立臺灣華語教育品牌,教育部推動「臺灣優華語計畫」,鼓勵大學與歐美優質大學建立實質學術合作關係。最新補助名單出爐,中原大學與美國密西西比學院(Mississippi College)之合作案獲得高額補助,是國內少數榮獲此計畫補助的優質大學。計畫期程自111年1月至114年7月,中原大學除將選送華語教學人員赴美授課、提供美國學生臺灣優華語獎學金來台之外,亦將安排美國學生進...... [閱讀更多]
自販機沒開發票恐逃漏稅 北區國稅局:輔導期免罰
2021-12-16 10:31:42 by 桃園電子報記者諶志明 @ 桃園電子報 [引用來源]
財政部北區國稅局表示,為維護租稅公平,並兼顧自動販賣機營業人實務作業及保障民眾索取統一發票兌獎權益,財政部於110年10/22修正發布「統一發票使用辦法」第15條、第18條及第32條規定,自111年1/1起使用統一發票之營業人以自販機銷售食品、飲料及收取停車費,應逐筆開立統一發票交付買受人;另考量營業人汰換設備或修改程式需要時間,依自販機取得時點分別訂定有1年及6年的輔導...... [閱讀更多]
桃園航空城與8家產學菁英簽署MOU 招商潛力產業
2021-12-16 09:28:42 by 桃園電子報記者諶志明 @ 桃園電子報 [引用來源]
桃園航空城計畫推動逾10年,其中不僅與49家企業或學界簽署合作備忘錄,也與14家銀行合作成立融資貸款媒合平台。桃園航空城公司與8家產學界菁英15日於台北舉辦「桃園航空城MOU簽署記者會」,希望從產業、大學、金融三方面推動招商,也期待有發展潛力的國際大廠或未來產業進駐。 桃園航空城公司與8家產學界菁英15日於台北舉辦「桃園航空城MOU簽署記者會」,希望從產業、大學、金...... [閱讀更多]
長庚科大歲末感恩活動 藝人嘻小瓜和學生嗨翻現場
2021-12-15 18:09:28 by 桃園電子報記者諶志明 @ 桃園電子報 [引用來源]
長庚科技大學14日舉辦歲末祝福感恩活動,廣邀全校同學、師長齊聚一堂,共同為疫情祈福,並慶祝耶誕佳節的到來。活動當天,學生會號召了全校社團進行才藝表演,在活動廣場附近更來了數十家攤商,瞬間讓全校充滿了歡慶佳節的氣氛。現場還邀請到了藝人嘻小瓜擔任本次活動主持人,並請長庚科大校友KUMU巫佳琪與娜路彎同學帶來美妙的合唱歌曲。 藝人嘻小瓜擔任長庚科大歲末祝福感恩活動表演主持...... [閱讀更多]
【有片】開南大學「舞告厲害」聖誕舞蹈大賽 學生battle炫技超熱血
2021-12-15 17:56:14 by 桃園電子報記者諶志明 @ 桃園電子報 [引用來源]
當街舞大賽碰上聖誕佳節,會衝撞出什麼閃亮舞步呢?開南大學「舞告厲害」第一屆聖誕舞蹈大賽15日登場,今年為鼓勵學生用熱舞抗疫,以創新方式辦理舞蹈比賽,現場集結多系熱愛街舞運動的學生到場尬舞。 開南大學「舞告厲害」第一屆聖誕舞蹈大賽15日登場。圖:開南大學提供 開南大學表示,各組學生爭相上場展現獨門舞技,有Locking/Urban、girl style、waac...... [閱讀更多]
桃園設置1312個投開票所 服務187萬名市民
2021-12-15 14:00:46 by 桃園電子報記者諶志明 @ 桃園電子報 [引用來源]
全國性公民投票第17案至第20案將於12/18舉行,桃園市共設置1,312個投開票所,投票權人達186萬9,908人。針對有發燒症狀的投票權人,每個投票所都規劃有發燒者的防疫動線,並有專屬的防疫遮屏可進行圈票,發燒者投票完成後,防疫遮屏會立即消毒,圈票工具也會清潔更換,確保投票權人能安心投票。 全國性公民投票第17案至第20案將於12/18舉行。示意圖:截自free...... [閱讀更多]
中央大學與聯新國際聯合研發中心成發會 展示豐碩成果
2021-12-15 13:50:43 by 桃園電子報記者諶志明 @ 桃園電子報 [引用來源]
中央大學與聯新國際醫院15日於中央大學教研大樓舉辦「中大聯新聯合研發中心暨智慧醫療教育推廣專班成果發表會」,由中央大學校長周景揚與聯新醫院院長黃忠智共同主持,主題包括桃園地區慢性疾病之共病網路分析與預測,為地區之慢病進行長期之研究與觀察,希望作為未來研究的基礎,並造福病患和鄰里。 中央大學與聯新國際醫院15日於中央大學教研大樓舉辦「中大聯新聯合研發中心暨智慧醫療教育...... [閱讀更多]

