記者諶志明 - 所有的文章 - 共有 4759 篇文章 搜尋時間 0.018 秒
退化性膝關節炎不可逆!樂生醫教你延緩症狀惡化
2022-10-03 10:57:12 by 記者諶志明 @ 桃園電子報 [引用來源]
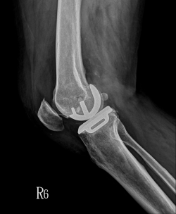
退休後的葉太太喜歡遊山玩水,但近幾個月來,常沒走幾步路就開始左膝疼痛,偶而蹲下時還會發出喀喀聲,到樂生療養院骨科檢查照X光後,被診斷為「退化性膝關節炎」。樂生療養院副院長、骨科主任周禮智指出,退化性膝關節炎的患者一般會感到關節疼痛,有時是間歇地隱隱作痛、活動受限,症狀惡化到最後可能會失去活動能力。 手術前病患常沒走幾步路就開始左膝疼痛,偶而蹲下時還會發出喀喀聲。圖:...... [閱讀更多]
桃警國慶連假交管措施出爐 國1平鎮南下匝道10/8封閉12HR
2022-10-03 09:51:19 by 記者諶志明 @ 桃園電子報 [引用來源]
10月8至10日的3天國慶連假預期天氣穩定,許多民眾將利用連假出遊,桃園市警察局已針對旅遊景點及易壅塞路段提前規劃交通疏導及管制勤務,並呼籲民眾妥適規劃路線,避開易壅塞路段,把握寶貴假期時間。 警方已針對旅遊景點及易壅塞路段提前規劃交通疏導及管制勤務。圖:警方提供 警方研判,連假期間如天氣穩定,國道各交流道周邊及大溪、龍潭等風景遊憩區周邊道路將湧現人、車潮...... [閱讀更多]
蘆竹運動中心也有事?詹江村質疑電梯井漏水 桃市工務局:結構安全無虞
2022-10-02 23:05:18 by 記者諶志明 @ 桃園電子報 [引用來源]
桃園市議員詹江村今(2日)天質疑蘆竹國民運動中心電梯井漏水,導致電梯有使用上的風險,同時批評運動中心未按圖施工導致設備故障,當時監工及驗收是如何通過的?桃園市政府工務局表示,該運動中心由新工處代辦興建,在108年11月啟用,後由體育局委託長佳機電公司維運管理,該運動中心有三組電梯,其中一組電梯井因漏水導致使用風險,現已封閉暫停使用,體育局確認電梯均有定期檢查保養,並非市府三年都沒有處理...... [閱讀更多]
攀登大溪溪洲山身體不適 消防人員協助平安護送下山
2022-10-02 20:27:44 by 記者諶志明 @ 桃園電子報 [引用來源]
桃園市政府消防局第四大隊大溪分隊今(2)日午間獲報,一名38歲男子與友人登山至大溪區溪州山愚公亭時身體不明抽搐,大溪分隊立刻派遣8名消防人員前往搜救,12時左右接觸該名患者,經救護人員評估後患者意識清楚,但四肢無力,經短暫休息後,由消防人員協助攙扶該患者至大溪區環湖路登山口,由患者友人駕駛車輛將患者送至家中休息。 民眾與友人攀登桃園大溪區小百岳溪州山,至愚公亭時發覺...... [閱讀更多]
【有片】龜山9旬老翁駕自小客車 疑倒車失控撞死1婦人
2022-10-02 20:23:57 by 記者諶志明 @ 桃園電子報 [引用來源]
桃園市龜山區昨(1)日17時22分發生一起自小客車倒車暴衝撞死人意外,造成1死3傷。一名91歲李姓老翁,駕駛自小客車於文化三路118號前,疑因倒車操作不當,車輛失控衝過安全島後沿著文化三路持續逆向倒車,在文化三路與文化二路52巷口撞擊行人(鄧女、蔡男(13歲)、賴女(39歲)、鄭男(56歲)及停等紅燈的兩台機車騎士(陳男、林男),最後撞擊商家才停下來,傷者緊急送往醫院搶救,其中鄧女(5...... [閱讀更多]
防患未然!桃園市消防第一大隊驗收義消訓練成果
2022-10-02 18:46:46 by 記者諶志明 @ 桃園電子報 [引用來源]
為加強訓練防患未然,桃園市消防局第一大隊與桃園義消中隊今(2)日14時舉行綜合性搶救演練,驗收義消平時的訓練成果,由桃園義消中隊所屬之分隊,分別針對不同災害類型進行情境搶救演練,桃園義消分隊辦理車禍救助演練;中路義消分隊辦理化學災害處置演練;大林義消分隊辦理城市救援演練;大有義消分隊辦理火災情境綜合演練,演練共計出動義消人員 68 人,模擬情境囊括震災、火災、車禍、化學災害等四種,可謂...... [閱讀更多]
蘇貞昌手持光劍列政績 力挺鄭運鵬
2022-10-02 09:05:36 by 記者諶志明 @ 桃園電子報 [引用來源]
桃園市長候選人鄭運鵬1日晚間出席龜山區「中央地方做伙拚・民主台灣大步行」政績說明會,行政院長蘇貞昌、桃園市長鄭文燦、交通部長王國材皆親自到場說明。鄭運鵬表示,桃園在鄭文燦的執政下成為全國新亮點、幸福城市的首選,帶給市民朋友許多感動,而他45天內就提出45項政見,希望能持續運轉桃園大進化,也請大家支持「小一號的鄭市長」。 桃園市長候選人鄭運鵬1日晚間龜山區政績說明會,...... [閱讀更多]
慈湖火舞光影季展現大溪白天黑夜不同獨特魅力
2022-10-02 08:36:19 by 記者諶志明 @ 台灣線報 [引用來源]
大溪慈湖紀念雕塑公園2022慈湖火舞光影季展期從10月1日至12月31日,5大亮點特色及5大光影燈區,規劃舞台表演、假日市集、草地電影院及遊樂設施等,非常適合親子同遊;展區附近景點觀光,特別是到大溪老街欣賞歷史牌樓、木博館夜賞光雕,或是到溪州露營區留宿一晚,體驗大溪白天與黑夜全然不同的獨特魅力。 大溪慈湖紀念雕塑公園2022慈湖火舞光影季展期10月1日至12月31日...... [閱讀更多]
桃園區議員候選人朱智菁後援會成立 現場「凍蒜」加油聲不斷
2022-10-01 18:21:04 by 記者諶志明 @ 桃園電子報 [引用來源]
桃園市長候選人鄭運鵬、市議員候選人朱智菁聯合後援會,昨(30)日晚間7時許,在大有路的荷顯宮廣場正式成立,現場湧入數百位支持者前來加油打氣,加油聲綿延不斷,當選氣勢如虹!鄭運鵬因確診無法到場,但鄉親依舊非常熱情地參與。較特別的是一群新住民朋友前來參加,並成立新住民後援會,以行動表現對候選人的支持,這是在別的選舉場合看不到的;新住民代表指出,因為非常感謝朱智菁對新住民議題的關注與關心,讓...... [閱讀更多]
張善政與露營青年埔心牧場夜話 「真心話大冒險」
2022-10-01 11:12:36 by 記者諶志明 @ 桃園電子報 [引用來源]
國民黨桃園市長候選人張善政30日晚間前往楊梅區埔心牧場「禾善蒝地」出席「青善露營Party – 青年夜話」活動,除了和在場大學生烤肉外,也玩「真心話大冒險」,展現緊繃選情下,難得的輕鬆氛圍。過程中,張善政除了談起與夫人相識的過程,也提到太太近期每天都過著驚悚的日子,因為對手抹黑攻勢不斷,讓她每天看新聞,都不知道會看到什麼事情。 國民黨桃園市長候選人張善政30日晚間前...... [閱讀更多]

