記者李文生/台南報導 - 所有的文章 - 共有 1865 篇文章 搜尋時間 0.034 秒
牙齒撞傷需冷靜 找回斷牙保持潮濕盡快就醫
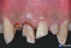
2017-07-09 15:19:03 by 記者李文生/台南報導 @ 台灣好新聞報 [引用來源]
奇美醫學中心牙醫部牙髓病科主治醫師賴曉錞提醒,牙齒撞傷後最重要是維持冷靜,找回斷牙,保持潮濕並盡快就醫。 「男童與同學打籃球碰撞,門牙缺角」、「騎腳踏車遭車撞,跌倒牙齒斷3根」,意外造成牙齒被撞斷的事件時有所聞,有時甚至牽扯到賠償問題,到底牙齒被撞傷後如何治療?只能做假牙,甚至拔掉斷牙而後植牙嗎?奇美醫學中心牙醫部牙髓病科主治醫師賴曉錞說,保持冷靜、...... [閱讀更多]
服務偏鄉學童 「小小夢想家」暑期營隊授旗出發
2017-07-08 10:53:05 by 記者李文生/台南報導 @ 台灣好新聞報 [引用來源]
台首大校長許光華授旗給該校暑期偏鄉服務隊。 台灣首府大學學務處課外活動組連同20多位大哥、大姐們,將遠赴屏東偏鄉小學進行暑期戶外教學訪視服務,今早由校長許光華授旗。許光華校長預祝「小小夢想家」暑期營隊此行一切順利成功。 指導、第11屆學生會主辦、屏東市凌雲國小承辦、台首大國際調酒菁英研究社、餐旅系學會協辦「小小夢想家」暑期活動即將在7月10日展開...... [閱讀更多]
提高文蛤活存率 動保處籲加強換水、改善飼養環境
2017-07-08 08:30:00 by 記者李文生/台南報導 @ 台灣好新聞報 [引用來源]
提升文蛤活存率,動保處行動診療車做水質檢驗等服務。 盛夏高溫,近期文蛤養殖不易,台南市動保處建議養殖業者提高換水頻度,避免水質變化造成文蛤死亡損失,養殖業者應加強換水、改善飼養環境,用益生菌改善文蛤池飼養環境,飼養密度不要太高。 台灣天氣已正式進入炎熱夏日季節,中午溫度有時候高達34-35℃,伴隨著午後雷陣雨,造成魚塭池的水溫和水質變化劇烈,高溫...... [閱讀更多]
台南七夕愛情起跑 推「緣粉」特色商品
2017-07-07 20:42:03 by 記者李文生/台南報導 @ 台灣好新聞報 [引用來源]
以「美佳臺南-戀戀南鯤鯓」為主題,2017臺南七夕愛情嘉年華活動將啟動,右三為南鯤鯓代天府總幹事侯賢遜。(圖/記者李文生攝) 2017台南七夕愛情嘉年華活動將啟動,活動期間從即日起至8月28日。今年以「美佳台南-戀戀南鯤鯓」為主題,推出一系列活動與特色商品,包括南鯤鯓代天府月老,奇美食品幸福工廠推出「金玉良緣必勝供品」禮盒,在文化局長葉澤山、南鯤鯓代...... [閱讀更多]
壁面彩繪功力驚艷 長榮大學生嘉「繪」國際青年旅社
2017-07-06 16:07:58 by 記者李文生/台南報導 @ 台灣好新聞報 [引用來源]
長榮大學書畫系學生擅長於紙上展現細膩工筆,壁面彩繪的功力令人驚艷。 長榮大學書畫藝術系為讓學生結合課堂學習與校外實務應用,由該系王明仁老師率領大學部及研究生等六人,與台北「貝殼窩青年旅舍」進行產學合作。王老師表示,壁面彩繪跳脫外界對書畫系學生只會紙面創作刻版印象外,創造學生運用多媒材,發揮所長的機會,開啟另一扇藝術視窗,滿足業界對繪畫求才的需求,與產...... [閱讀更多]
大學校院系所評鑑 長榮大學全數通過
2017-07-05 09:16:36 by 記者李文生/台南報導 @ 台灣好新聞報 [引用來源]
長榮大學26個系所,含通識教育,全數通過大學校院通識教育及第二週期系所評鑑認證,通過率百分百。 105年度下半年大學校院系所評鑑結果出爐,長榮大學6個新設立系所全數通過。凸顯長榮大學系所在課程規劃、學術研究、教學方式與學生學習成效等方面獲得評鑑委員認同,優質辦學成果獲教育部肯定。 長榮大學校長李泳龍獲知喜訊說,感謝各系所主任與老師的努力,提升長榮...... [閱讀更多]
邊學邊吃還可帶回家 台首大小小烘焙師夏令營開訓
2017-07-04 15:28:45 by 記者李文生/台南報導 @ 台灣好新聞報 [引用來源]
台首大小小烘焙師夏令營,小朋友做杯子蛋糕。 台灣首府大學放暑假,烘焙教室內卻是熱鬧滾滾。一群來自台南地區小朋友在烘焙教室中學做糕點,在烘焙老師細心解說,小朋友開始把麵糰放入模型中做起杯子蛋糕,完成後再由老師一一送入烤箱,緊接著又做手工餅乾,學童們樂不可支。 大部份的小朋友只吃過蛋糕,從未自己動手過蛋糕,因應小學生漫長暑假,台灣首府大學推廣教育處推...... [閱讀更多]
崑科大辦港生夏令營 融合多項農村文化新知識
2017-07-04 14:41:35 by 記者李文生/台南報導 @ 台灣好新聞報 [引用來源]
港生體驗柚園風情。 崑山科大連續5年舉辦「2017香港大學專業進修學院夏令營」,今年引入創新模式,由公廣系「84果產製造所」畢製團隊協助規劃南臺灣農業深度體驗,藉由跨農村生態講解、文創DIY、臺港生互動等,讓40名港生了解臺灣在地文化、創造獨特臺灣記憶。 為期一週的夏令營豐富有趣,融合多項農村文化新知識活動中,公廣系「84果產製造所」畢製團隊先邀...... [閱讀更多]
探討教育與設計 台首大教育實踐與設計實務學術研討會
2017-06-29 15:26:49 by 記者李文生/台南報導 @ 台灣好新聞報 [引用來源]
台灣首府大學主辦的2017教育實踐與設計實務學術研討會,在台首大致遠樓國際會議廳舉行。除邀請學者、專家專題演講外,也舉辦研究論文發表與競賽。(圖/記者李文生攝) 台灣首府大學教育與設計學院主辦的2017教育實踐與設計實務學術研討會,在台首大致遠樓國際會議廳舉行。除邀請學者、專家專題演講外,也舉辦研究論文發表與競賽,該校教育與設計學院則舉辦學生實務專題...... [閱讀更多]
科技觀光引領新旅潮 崑山科大設計主題推動龍崎旅遊
2017-06-29 15:21:32 by 記者李文生/台南報導 @ 台灣好新聞報 [引用來源]
崑山科大團隊透過實踐共創課程,選定南市龍崎區為農村實踐場域,規劃主題旅遊公關推廣方案,積極提升社區發展。(圖/記者李文生攝) 崑山科大公廣系與企管系以「發現農村多元新風貌,科技觀光引領新旅潮」為題,為台南市龍崎區規劃主題旅遊公關推廣方案,積極提升社區發展。計畫主持人蔡佩芳副教授表示,該計劃主要是建立農村社區發展觀光的基本運作模式與機制,以達到自主維繫...... [閱讀更多]

